Dr. Mary E. Morrison

Assistant Professor, Biology Department, Lycoming College

700 College Place, Williamsport, PA  17701

office phone (570) 321-4184

email     Morrison@lycoming.edu

Course Syllabi:

 

Bio 106 Cells, Genes, and Society Spring 2011

Bio 347 Immunology Spring 2010

Bio 110 Introduction to Biology I Fall 2010

Bio 435 Cell Biology Fall 2010

Bio 337 Neurobiology Spring 2011

Bio 447 Cell and Molecular Biology Research Methods Fall 2009

 

Useful links:

 

pGLO plasmid sequence

Links for High School Biology Teachers

National Center for Biotechnology Information (NCBI)

NEBcutter (restriction enzyme software)

Research Summary:

Dr. Morrison was the recipient of a National Science Foundation Support of Mentors and Students (SOMAS) award for summer 2006 research with undergraduates.

Areas of interest include cell biology, neuroscience, developmental biology, virology, and biology education for nonmajors.  Possible research projects for undergraduates include:

1)         Cell biology of the brain:  Granule neuron regulation of Purkinje cell development

2)         Molecular biology of the brain:  Gene expression changes and signaling events during development of the cerebellum

3)         Mammalian Genetics:  effects of mutations on mouse brain development

4)         Biotechnology:  developing methods for gene transfer into neurons

 

Images from research projects:

 

Description: Description: Description: Images/Purkinjecell.jpg

Purkinje cell (brown) cultured with granule neurons for 14 days; stained with anti-Calbindin-D28k/peroxidase.  Note the branching dendrites and numerous small, thornlike spines.

Description: Description: Description: Images/coculture.jpg

Purkinje and granule cells cocultured for 4 days; stained with:  anti-Calbindin-D28k/Cy3 (red), anti-BrdU/FITC (green), and Hoechst 33258 (blue).

Description: Description: Description: Images/P1section.jpg

Rat cerebellum, postnatal day 1, Purkinje cells stained with anti-Calbindin-D28k.  Note small cell bodies and generally disorganized Purkinje cell layer.

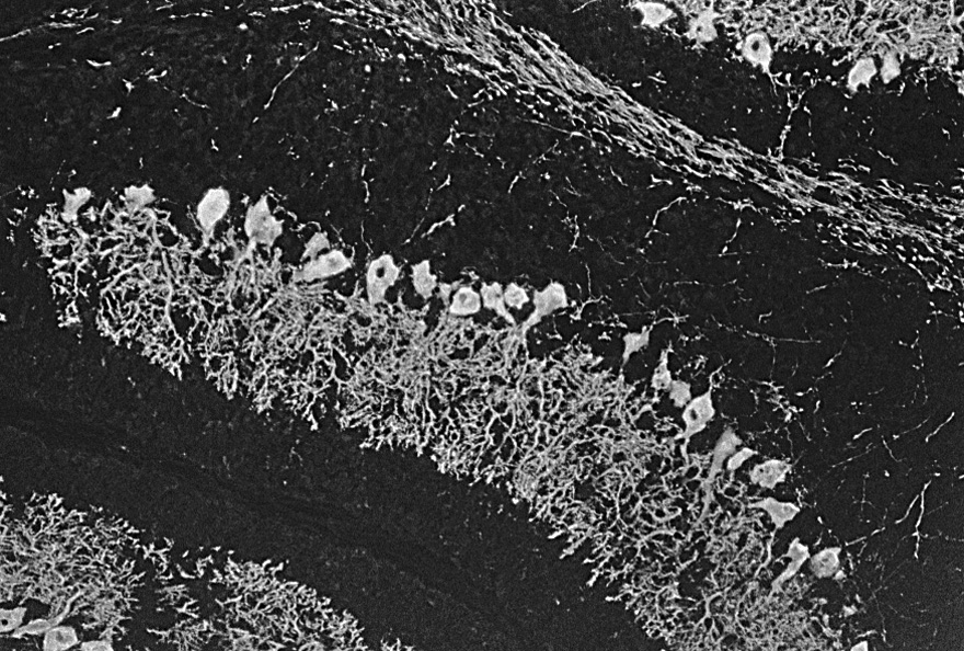
Description: Description: Description: Images/P5section.jpg

Rat cerebellum, postnatal day 5, Purkinje cells stained with anti-Calbindin-D28k.  Note enlarging cell bodies and Purkinje cell apical dendrites pointing toward the surface of the brain.

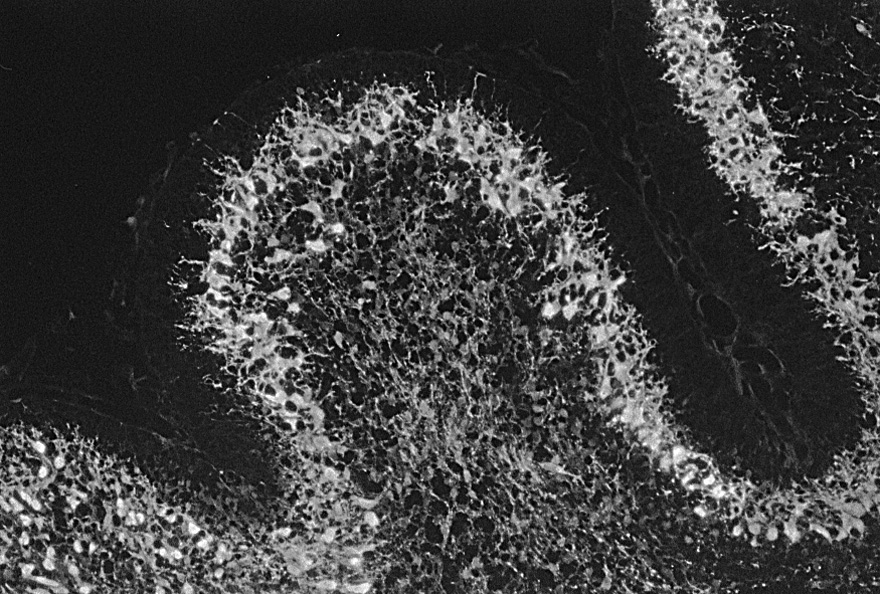
Description: Description: Description: Images/P10section.jpg

Rat cerebellum, postnatal day 10, Purkinje cells stained with anti-Calbindin-D28k.  Note elaborate dendritic trees and Purkinje cells lined up in a monolayer.

Description: Description: Description: Images/P15section.jpg

Rat cerebellum, postnatal day 15, Purkinje cells stained with anti-Calbindin-D28k.  Note mature configuration of Purkinje cells in a monolayer, with highly branched dendrites.

Description: Description: Description: Images/MRC5Vim60XFITC.gif

MRC-5 lung fibroblast cells stained with anti-vimentin antibody/Alexa 488, by AJ Willouer for a Cell Biology class research project

Description: Description: Description: Images/HeLaVim60XFITC.gif

HeLa human cervical carcinoma cells stained with anti-vimentin antibody/Alexa 488, by AJ Willouer for a Cell Biology class research project

 

Images outside the classroom:

 

 

Lusha Xu ’11 and Julia Was ’10 presenting their research poster on dendrite morphology analysis at the 2011 Lehigh Valley Society for Neuroscience meeting at Lafayette College.

John Mastrobuono ‘11 presenting his research poster  on early-stage Purkinje cell markers at the 2011 Lehigh Valley Society for Neuroscience meeting at Lafayette College.

Ethan Sellers ’12 presenting his research poster on early-stage Purkinje cell markers at the 2011 Lehigh Valley Society for Neuroscience Meeting at Lafayette College.

Intro Bio students resting up during the annual trip to the American Museum of Natural History in New York

 

 

 

 

 

 

 

 

 

 

Images from the Lycoming College Biology Department

Description: Description: Description: Images/Lycomingseal%20logo.gif

The spring 2011 Bio 337 Neurobiology class using their brains!

KC Failor ’11 and Julia Was ’12 giving their final project presentation in Bio 435 Cell Biology class

KC Failor ’11 and Julia Was ’12 culturing HeLa cells for Cell Biology class in our BSL2 tissue culture lab

The fall 2010 Cell Biology class all dressed up

Lauren Bottorf ’12 and Jordan Krebs ’13 giving their final project presentation in Bio 435 Cell Biology class

KC Failor ’11 culturing HeLa cells in the BSL2 hood for Cell Biology class

 

 

 

Description: Description: Description: Images/StamatisNikon.JPG

Stamatis Zeris '06, independent study student, using the Nikon microscope

Description: Description: Description: Images/MaryAshleyPipetting.jpg

Mary Gantz '06 and Ashley Campbell '08 working in Dr. Morrison's prep room

Description: Description: Description: Images/060404CyndBetsFicoll.jpg

Betsy Reese '07 and Cynthia Smith '07 purifying white blood cells with Ficoll gradients in Bio 347 Immunology lab

Description: Description: Description: Images/MaryGonNikonScope.JPG

Mary Gantz '06 on the Nikon microscope

Description: Description: Description: Images/060404JessSara1.jpg

Sara Gavlock '07 and Jessica Bennett '08 programming the microplate reader in Bio 347 Immunology lab

Description: Description: Description: Images/Bio106fermenters.jpg

Bio 106 students celebrating the end of their fermentation lab experiment